

Ms HF – Invisalign, Whitening and Veneer


Mr CS – Invisalign and Whitening


Mrs LG – Invisalign at 7 years review


Mrs KW – Invisalign and Whitening


Mr JO – Invisalign and Whitening


Mr SM – Invisalign and Whitening


AC – Whitening


DC – Invisalign, Whitening and Implant


Miss AC – Invisalign and Whitening


Miss OC – Invisalign


Mr JC – Invisalign, Whitening and Implant


Mr JD – Invisalign and Whitening


Mrs AC – Invisalign and Whitening


Mrs LAD – Invisalign and Whitening


Mrs ME – Invisalign and Whitening


Mr JB – Veneers
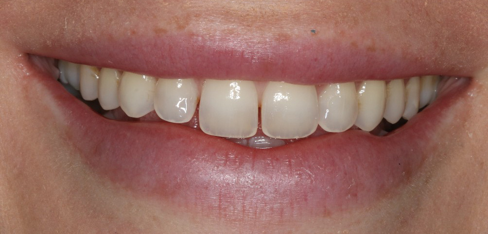
Before
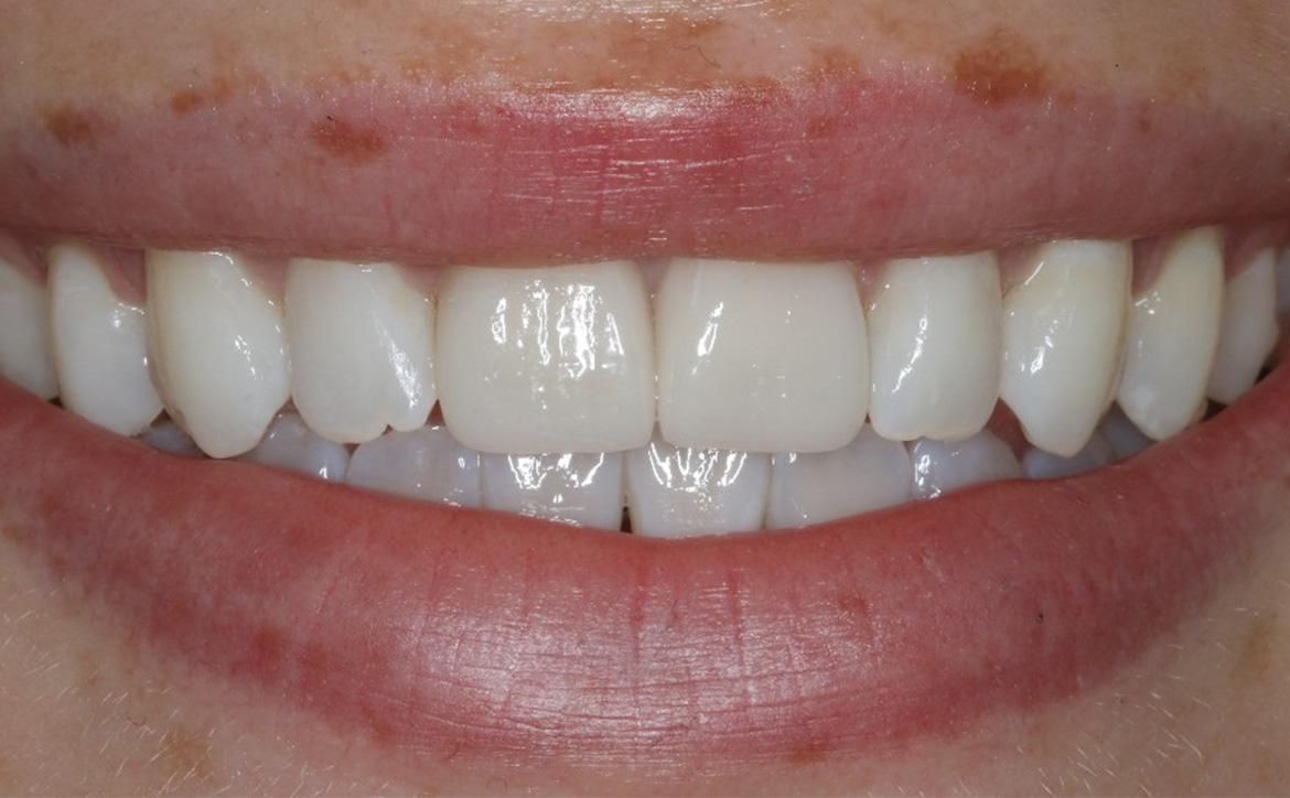
After
ICON treatment


Whitening and Smilefast


Whitening, Invisalign and Composite Bonding


Whitening, Invisalign and Crowns

